Today:
목차
대형마트에서 판매하는 혹은 유통 중인 훈제연어 중에서 11개 제품에 대해 식약처에서는 일부 6개 제품을 회수 조치를 시행하였습니다. 이유는 해당 제품들에게서 식중독균이 발견이 되었기 때문인데요.
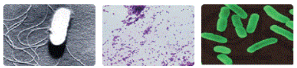
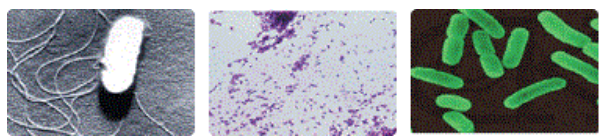
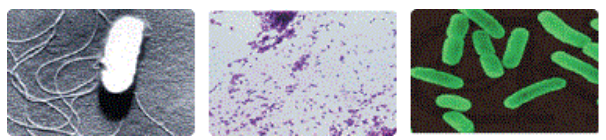
이번에 발견된 식중독균은 '리스테리아 모노사이토제네스'라는 이름의 균입니다. 얼마 전 한국산 팽이버섯에 있는 리스테리아균으로 미국인 4명이 사망하기도 한 균과 동일한 균입니다.
식약처에서 이번에 검사한 대상 품목은 조리를 하지 않고 바로 섭취할 수 있는 식품들이였고, 그 중에서도 수산가공품 약 40가지에 대해 검사를 진행하였다고 합니다.
해당 리스테리아균이 발견된 훈제연어의 제조업체는 총 4군데로 11개의 제품이라고 합니다. 아래에서 제품을 확인해보겠습니다.

회수 대상 제품 리스트 확인
부산공장에서 제조하는 동원 훈제 로즈마리 외 5가지 품목리스트 입니다. 식품안전나라에서 더 자세한 내용이 확인가능합니다.
㈜선도씨푸드(인천 계양구)
㈜영피쉬(대구 서구)



















회수 대상 제품 총정리 리스트 입니다.
서울시 리스테리아균 관련 보도자료
서울시에서 발표한 보도자료에 따르면 리스테리아균은 그람양성 통성 혐기성균으로서 일반적으로 주모성 편모를 사용해서 활동한다고 합니다. 또한 인수공통의 병원규으로 냉장온도에서도 생존 및 증식을 할 수가 있고 영하 18도에서는 증식을 할수가 없다고 합니다.

리스테리아 균에 감염된 사람들은 열이나거사 근육이 아플수가 있고 오심이나 설사 등을 동반할 수가 있다고 합니다. 주로 비가공되거나 살균되지 않은 우유를 마시거나 치즈나 소시지 버섯 그리고 훈연 제품 등에서 발견이 된다고 합니다.
리스테리아 균을 예방하기 위해서는 수산물 등을 꼭 72도 가금류 83도 이상 가열 한 뒤 섭취를 해야하며, 팽이버섯 또한 70도 이상에서 가열한 뒤 먹어야하겠습니다.
뿐만아니라 채소를 먹을 때도 반드시 깨끗이 세척을 해야하고 냉장고에 넣어놓아도 증식이 가능하니 전용밀폐용기에 보관하는 등 소비자의 관리가 철저하게 필요한 부분이라고 합니다.
같이 읽기좋은글
2020/07/31 - [정 보] - 노후주택 수리지원 - 서울 가꿈주택사업
2020/07/21 - [정 보] - 중금속 쇳가루 향신료 리스트 확인하세요
2020/07/15 - [정 보] - 우리집 수돗물 안심확인제 (무료수질검사)
2020/06/25 - [정 보] - 에어프라이어 발암물질 제품 리스트
2020/06/09 - [정 보] - 식품안전나라 판매중지 크릴오일 확인하세요
2020/06/16 - [정 보] - MBTI 연애유형 확인하세요
2020/06/18 - [정 보] - 혈압 낮추는 방법
출처: 식약처
블로그 읽어주셔서 감사합니다.
Written by Sun Lee
공감과 댓글은 작성자에게 힘이됩니다 :-) 오늘도 기분 좋은 하루 되시길 바랍니다~!







최근댓글