Today:
목차

보건증이란💬
🌈''' 이번에는 보건증 발급에 대해서 간략하게 알아보도록 하겠습니다. 음식점이나 식품을 다루는 분들은 특히나 경험이 있으실 텐데 이렇게 요식업과 같은 식품위생이 관련된 업장에서 근무를 하기 위해서는 보건증을 필수로 발급 받아서 제출해야합니다. '''
''' 참고로 유흥업소에 종사하는 사람들도 정기적으로 검사를 받아야하겠습니다. 그렇다면 보건증을 발급받기 위해서는 어떤 검사항목들이 있는지 살펴보아야겠습니다. '''


보건증 검사항목💬
🌈 검사항목은 종사하는 업종별로 차이가 있습니다.
- 요식업의 경우에는 결핵과, 전염성피부질환 그리고 장티푸스와 세균성이질을 기본으로 검사하게 되며
- 유흥업소에 종사하는 사람의 경우에는 위의 요식업에 종사하는 사람들이 검사하는 검사 이외에 추가적으로 성병검사 관련하여, 성매개감염병 과 에이즈 검사를 추가로 받아야합니다.
🌈 전염성피부질환은 간단히 피부를 살펴보거나 설문지를 작성하는 것으로 간단히 진행됩니다.
🌈 개인적으로 보건증을 받기 위해 검사를 받을 때, 기분이 조금 이상했던 검사는 바로 장티푸스 검사인데, 이 검사는 면봉을 주면 항분에 2cm ~ 4cm 정도 넣었다가 빼고 시약비커에 담아 제출하면 됩니다.
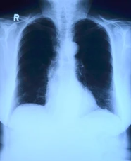
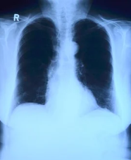
🌈 폐결핵 관련 검사의 진행은 흉부 엑스레이를 촬영하는 것이 전부가 되겠습니다.
.






보건증 검사 장소💬
🌈 보건증을 발급받기 위해서는 가장먼저 보건소가 생각이납니다. 하지만 보건소 뿐만아니라 대학병원이나 일반병원에서도 보건증 검사를 하기 때문에 원하는 지역의 병원에 미리 연락을 해서 보건증관련 검사를 하는지 확인하고 방문하시면 좋을 것 같습니다.
보건증 기간💬
🌈 보건증을 발급한 뒤 유효기간은 기본적으로 1년이기 때문에 매년 한 번 씩 받으셔야합니다. 보건증은 검사를 한 뒤 일반 요식업 관련 종사자는 4일 정도 소요가 되며 유흥은 약 7일정도 소요가 되게 됩니다.
만약 검사에서 이상이 있다면 다시 재검사를 요구하는 경우가 있으니 검사를 받은 보건소나 병원으로 문의를 하시면 되겠습니다.
보건증 준비물💬
🌈 보건증을 발급신청 하러 갈때는 신분증 (민증/여권/운전면허/학생증) 과 발급비용 3천원을 가져가시면 됩니다. 비용은 보건소별로, 병원 별로 다를 수가 있습니다.
보건증 발급💬
🌈 검사를 한 후, 보건증이 발급되었다고 연락이 오면 인터넷으로도 발급이 가능하고 직접 방문하여 수령할 수도 있습니다. 요청을 하면 우편으로도 받아볼 수가 있습니다.
인터넷 발급은 공공보건포털 https://www.boguninfo.com/에 접속하시면 공인인증서를 통하여 더욱 쉽게 발급 받으실 수가 있습니다.
보건증 발급방법 동영상💬
🌈 하우하우에서 제공하는 동영상에서 보건증 발급방법에 대해 쉽게 설명해주고 있으니 한 번 보셔도 좋을 것 같습니다.
https://terms.naver.com/entry.nhn?cid=51701&docId=5834304&categoryId=65727
보건증 발급 방법
[보건증 발급 방법] (동영상 출처 : 하우하우)
terms.naver.com
출처: G-HEALTH
블로그 읽어주셔서 감사합니다.
Written by Sun Lee
공감과 댓글은 작성자에게 힘이됩니다.🥰






최근댓글